12617 Louetta Rd Suite #204 Cypress, TX 77429

Villageparkfamilydental@gmail

info@vpfamilydental.com

(281) 376-4444

C

OFFICE HOURS

Monday – Friday: 08:00 am – 05:00 pm
Saturday 8:00 am – 2:00 pm
blog

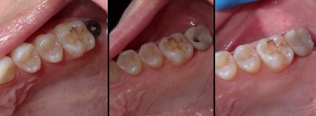
Before and After View

Gallery of Implants

Implant Image Process
Before After Seat Crown
Implant Image Process
implants-before-after
implants-before-after

Contact Village Park Family Dental, office of Cosmetic Dentistry, Orthodontics and Wellness Dentistry.

We are your comprehensive dentist of choice.

Skip to content